慢性鼓膜炎
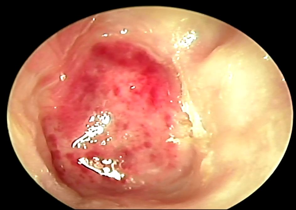
慢性耳膜炎 (chronic myringitis)又稱之為肉芽狀耳膜炎 (granular myringitis),是一個耳膜慢性發炎的疾病,他的特色是耳膜的最外層去上皮化並且有肉芽組織增生同時沒有影響到中耳腔,盛行率大約為來看耳朵疾病病人中的1.2~1.8%,致病因還不是很清楚,有些說法是說可能和氣溫比較高、游泳、衛生習慣不好、局部一直刺激耳道以及有異物在耳道等等有關,有時候會合併細菌感染 (pseudomonas, staphyloccusa, proteus),臨床上,病人的表現為耳朵內有臭味的分泌物、耳道癢以及耳朵悶脹感,通常不會造成聽損,不過如果後期形成外耳道內側的狹窄跟纖維化就可能造成聽力減退,目前還沒有共是說有哪一種黃金治療方法,有些人會使用抗生素滴劑來治療,不過這通常會造成一開始感覺變好後來卻又復發的情形,然後這時候就是病人噩夢的開始,因為他幾乎不會根治這個問題,每次回診就是一如往常的開滴劑治療,久了之後有些還會併發耳黴菌感染,所以一開始正確的診斷很重要,一般容易混淆的就是瀰漫性的外耳炎 (diffuse otitis externa)以及慢性化膿性中耳炎 (chronic suppurative otitis media),所以如果有長期耳朵濕濕悶悶的一直治療都沒有改善,請至在地的耳鼻喉專科診所接受檢查以免衍伸後續其他的病變喔!!
PS. 左圖是我們的病人治療前,右圖是治療後,可以很明顯看到耳膜變得清爽也變得乾燥
延伸閱讀:
PS. 左圖是我們的病人治療前,右圖是治療後,可以很明顯看到耳膜變得清爽也變得乾燥
延伸閱讀: