哮吼
成因
哮吼 (Croup)是小孩身上的一種呼吸道疾病,可以只有喉部+氣管 (Laryngotracheitis) 或是甚至影響到支氣管(Laryngotracheobronchitis),最常見於6個月至3歲大的小孩身上,大部分自己就會好 (self-limited),好發在秋天跟冬天,比較常出現在男生,大約85%的病人是屬於輕症,只有不到5%會需要住院治療,致病因約有8成是病毒引起,其中又以副流感病毒第1型(有分1~3型)最多,其他的病毒包括流感病毒、腺病毒、呼吸道融合病毒、鼻病毒以及腸病毒等等,感染之後會造成喉部以及聲門下的的黏膜腫脹,腫脹之後氣流的進出就會受到影響因此病人就會喘,細菌性偶而會看到,有可能是黴漿菌或是白喉桿菌感染等等。
症狀
通常一開始跟一般感冒差不多的症狀如流鼻水或是發燒,在24-48小時之後開始呼吸急促、呼吸費力、哮喘以及像狗吠聲的咳嗽 (barking cough),症狀在夜裡會更厲害,在達到高峰後會慢慢轉好 (大約一周),哮吼主要是靠臨床症狀來診斷,典型三大症狀為突然性的像狗吠聲的咳嗽、吸氣時哮喘以及聲音沙啞,如果遇到病人呼吸時胸骨上以及肋下凹陷、鼻翼搧動 (nasal flaring) 或是發紺 (cyanosis) 可能表示症狀很嚴重。診斷
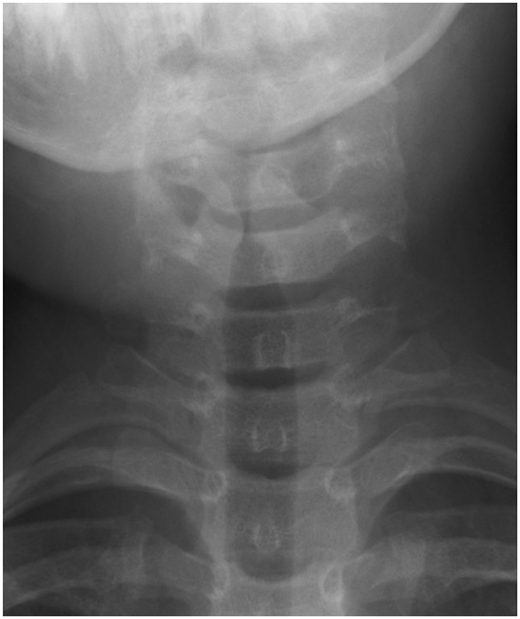
通常小朋友如果有突然性的喘鳴 (stridor) 絕大多數是因為哮吼的關係,但還是要小心的跟急性會厭炎(急性會厭炎介紹) 來做鑑別診斷,因為兩者的治療方式跟預後是不一樣的,通常急性會厭炎更容易引起喉嚨痛或是流口水,哮吼更容易引起咳嗽症狀,這些都可以做為診斷的參考,甚至直接用內視鏡檢查也可以增加我們診斷的正確性,一般不太需要去抽血檢查,有時候在急診室會去照一個頸部的X光片,可能可以看到尖塔徵象 (Steeple sign),不過這個也有可能出現在急性會厭炎、細菌性氣管炎、腫瘤或是熱傷害的病患身上,電腦斷層可以幫助鑑別診斷是否有深頸部感染、腫瘤或是異物吸入造成喘鳴。治療方式
治療的話可以先病人分等級,有一個叫做Westley Croup Score,如果2分以下就是輕微的 (詳見下表),以前會習慣給予加濕的氧氣吸入治療,不過後來發現對於病程幫助不大,一般建議如果懷疑是哮吼就要使用類固醇治療,類固醇可以減少喉部的腫脹,用類固醇治療的病人從急診室回家後比較不會又變嚴重需要再度回診,也可以加速症狀緩解減少病患待在急診室的時間,另外,也可以同時給予吸入型腎上腺素,跟類固醇的差別在於類固醇作用較慢但是較久,腎上腺素作用快但是維持時間較短,所以提醒家長如果發現小孩呼吸變的急促以及聲音改變的話,就要趕快就醫檢查以免延誤病情!!
延伸閱讀: