急/慢性鼻竇炎
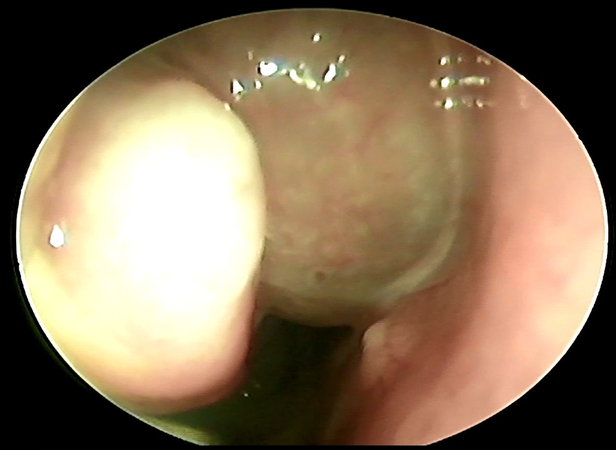
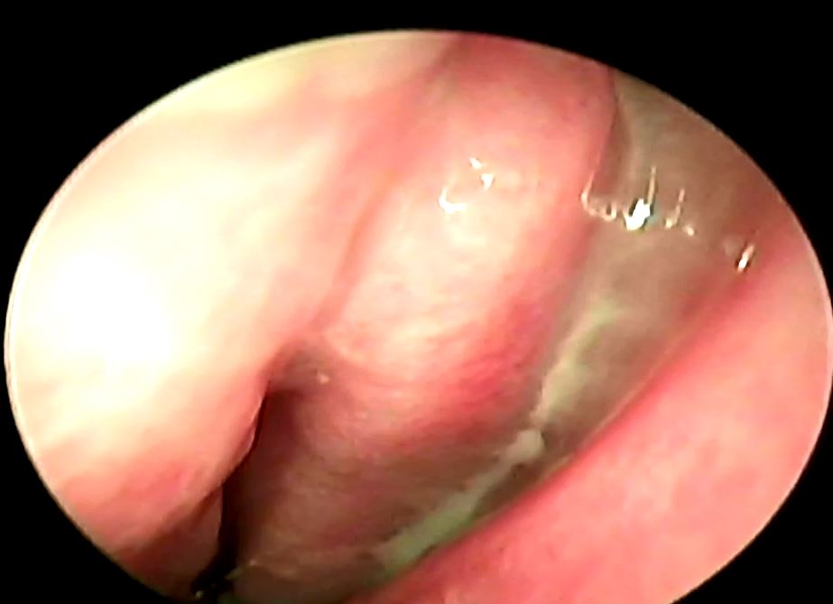
鼻竇是我們顱骨內的空腔,一般人通常會具有上頷竇、前篩竇、後篩竇、蝶竇、額竇等等,他們都跟我們的鼻腔有相通,所以通常鼻竇發炎的時候裡面的分泌物會跑到鼻腔中,導致病人會有膿鼻涕或是鼻涕倒流的症狀,一般來說鼻竇炎可以分為急性、亞急性或慢性,根據不同的感染原又可以分為細菌、病毒或是黴菌,其中最常見的是病毒性感染,每年在美國大約有3100人有得過鼻竇炎,是排名前五大可能會用到抗生素的疾病,當感染的時候鼻竇黏膜會腫脹導致鼻竇開口堵塞,同時病毒或細菌也會影響纖毛運動導致黏液排出困難進而堆積,所以就形成了更容易讓細菌或是病毒滋長的環境,一般來說超過10天以上都沒有任何進步的會高度懷疑是細菌性感染,或是一開始有進步又變嚴重了也會懷疑是細菌性感染,病毒感染通常是症狀治療,細菌性感染一般會給予抗生素,有時也會建議鼻內類固醇的使用以及鼻腔沖洗;一般鼻竇炎的診斷是依據病史以及理學檢查或室內視鏡檢查,不會常規使用影像學檢查除非是懷疑有併發症或是預計要手術治療的時候才會使用,影像學檢查無法判斷是細菌或是病毒性來源,至於細菌培養比較常用於懷疑有抗藥性的病人或是免疫不全的病人身上。
通常單側的鼻竇炎要最為小心,可能是腫瘤、黴菌感染或是牙科處置不當從口腔跑來的細菌,這時候藥物的治療反應就會不好,有時候甚至需要手術治療,鼻竇炎如果延遲治療有時候甚至會引起眼球或眼球旁膿瘍、腦部海綿竇栓塞、腦部膿瘍等等嚴重的併發症,所以如果一直有膿鼻涕沒有改善,請一定要給耳鼻喉專科醫師詳細檢查喔!!
PS. 最後提一下抽鼻涕這件事,通常鼻竇炎的時候鼻涕很難擤乾淨,鼻膿裡面的蛋白質是很好的細菌培養皿,所以把深層的鼻涕抽掉有助於減少病菌的孳生,且抽完後鼻腔會通暢許多,這個治療比打任何針劑都還有效,如果能放輕鬆讓醫師幫您抽乾淨,相信對您的疾病是有幫助的!!
延伸閱讀:
通常單側的鼻竇炎要最為小心,可能是腫瘤、黴菌感染或是牙科處置不當從口腔跑來的細菌,這時候藥物的治療反應就會不好,有時候甚至需要手術治療,鼻竇炎如果延遲治療有時候甚至會引起眼球或眼球旁膿瘍、腦部海綿竇栓塞、腦部膿瘍等等嚴重的併發症,所以如果一直有膿鼻涕沒有改善,請一定要給耳鼻喉專科醫師詳細檢查喔!!
PS. 最後提一下抽鼻涕這件事,通常鼻竇炎的時候鼻涕很難擤乾淨,鼻膿裡面的蛋白質是很好的細菌培養皿,所以把深層的鼻涕抽掉有助於減少病菌的孳生,且抽完後鼻腔會通暢許多,這個治療比打任何針劑都還有效,如果能放輕鬆讓醫師幫您抽乾淨,相信對您的疾病是有幫助的!!
延伸閱讀: