耳黴菌
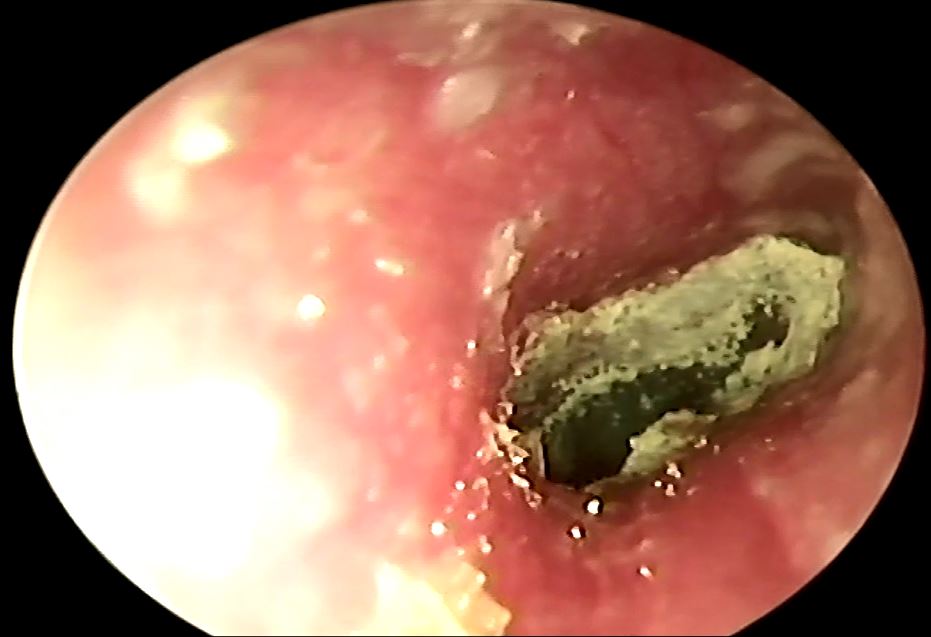
耳朵黴菌感染是一個常常被過度診斷的耳鼻喉疾病,常常很多耳朵癢的病人都被誤認為這個診斷,或是診斷正確但是治療方式不正確導致一直沒好,最近有一位女性耳朵發炎且感覺裡面有水,經過診斷為外耳道黴菌,除了給予藥物之外,利用內視鏡把裡面的黴菌作徹底的清創,病人第三次就診幾乎都痊癒了。
![]()
耳黴菌又稱之為黴菌性外耳炎,通常好發於熱帶地區,由於會常常復發所以病人一直會很困擾,有研究指出耳黴菌大約占外耳炎的1/4左右,耳黴菌常常發生在: 喜歡掏耳朵、氣候高溫潮濕、免疫功能低下、耳朵因為外耳炎常常局部使用類固醇或是抗生素的病人身上、慢性中耳炎沒好好控制的病人等等,最常見的菌種為黑麴菌以及白色念珠菌 (Aspergillus Niger, Candida Albican),常見的症狀為耳漏、疼痛、耳朵搔癢難耐、耳朵悶脹等等,治療的方法最重要的就是要把耳朵清乾淨 (aural toilet),當然這不會很容易,根據臨床經驗越難清乾淨的病患復發的機率越高,一般可以使用弱酸性藥物或是抗黴菌藥物來治療耳朵,這裡順便提一下,一般來說有些醫師遇到耳朵感染會喜歡開耳滴劑給病人,滴久了會產生兩個問題 :
1. 耳朵的酸鹼質會因為滴劑而改變 (原本大約PH3-4左有)
2. 原本耳道正常的菌叢會被破壞因此黴菌沒有了跟他們搶地盤的對象
所以如果耳朵一直沒有好千萬不要一直反覆點耳藥水,久了反而會產生併發症,前有有提到耳黴菌必須要清乾淨才行,所以最好是交給耳鼻喉專科的醫師才比較能夠清乾淨喔!!
延伸閱讀:
耳黴菌又稱之為黴菌性外耳炎,通常好發於熱帶地區,由於會常常復發所以病人一直會很困擾,有研究指出耳黴菌大約占外耳炎的1/4左右,耳黴菌常常發生在: 喜歡掏耳朵、氣候高溫潮濕、免疫功能低下、耳朵因為外耳炎常常局部使用類固醇或是抗生素的病人身上、慢性中耳炎沒好好控制的病人等等,最常見的菌種為黑麴菌以及白色念珠菌 (Aspergillus Niger, Candida Albican),常見的症狀為耳漏、疼痛、耳朵搔癢難耐、耳朵悶脹等等,治療的方法最重要的就是要把耳朵清乾淨 (aural toilet),當然這不會很容易,根據臨床經驗越難清乾淨的病患復發的機率越高,一般可以使用弱酸性藥物或是抗黴菌藥物來治療耳朵,這裡順便提一下,一般來說有些醫師遇到耳朵感染會喜歡開耳滴劑給病人,滴久了會產生兩個問題 :
1. 耳朵的酸鹼質會因為滴劑而改變 (原本大約PH3-4左有)
2. 原本耳道正常的菌叢會被破壞因此黴菌沒有了跟他們搶地盤的對象
所以如果耳朵一直沒有好千萬不要一直反覆點耳藥水,久了反而會產生併發症,前有有提到耳黴菌必須要清乾淨才行,所以最好是交給耳鼻喉專科的醫師才比較能夠清乾淨喔!!
延伸閱讀: