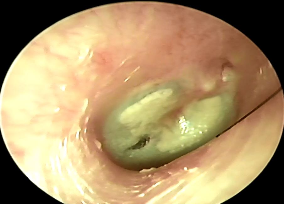
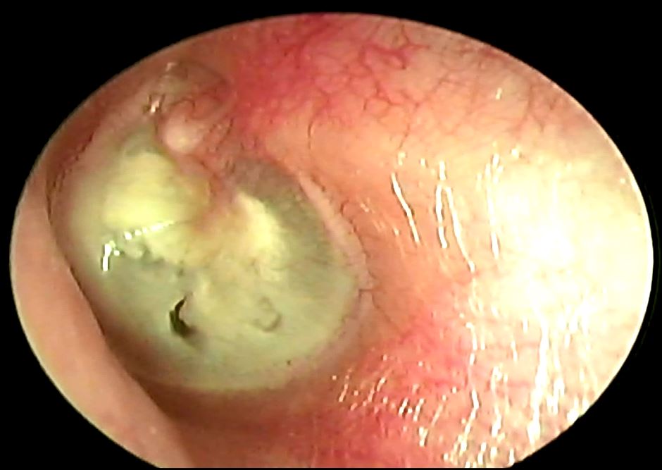
鼓室硬化症
鼓室硬化症是一個鈣化的疾病,可能會單純影響耳膜 (又叫鼓膜硬化症),也可能會影響到整個中耳腔,在1734年被Cassebohm初次提出這個診斷,他的表現可能沒有任何一點症狀,也可能造成聽力降低,聽力降低的程度跟影響的範圍相關,造成硬化症的原因還不是非常的確定,可能是因為受到感染或傷害後過度癒合的結果或是自體免疫的反應,黏膜下先出現玻璃樣變性 (hyaline degeneration)之後形成鈣化斑塊,Wieling and Kerr根據影響的範圍把它分成四級 :
1. 只影響耳膜
2. 影響槌骨跟砧骨的組合
3. 影響鐙骨
4. 整個聽小骨鏈都被影響而無法活動
有一些研究顯示使用鈣離子阻斷劑可以減少鈣化的形成,如果明顯影響到聽力也可以考慮手術治療,手術主要目的是要移除鈣化的組織以及重建受限的聽小骨活動,術前的聽力檢查以及電腦斷層掃描非常重要,建議聽力逐漸惡化的病人儘早找耳鼻喉專科醫師諮詢喔!!
延伸閱讀:
1. 只影響耳膜
2. 影響槌骨跟砧骨的組合
3. 影響鐙骨
4. 整個聽小骨鏈都被影響而無法活動
有一些研究顯示使用鈣離子阻斷劑可以減少鈣化的形成,如果明顯影響到聽力也可以考慮手術治療,手術主要目的是要移除鈣化的組織以及重建受限的聽小骨活動,術前的聽力檢查以及電腦斷層掃描非常重要,建議聽力逐漸惡化的病人儘早找耳鼻喉專科醫師諮詢喔!!
延伸閱讀: