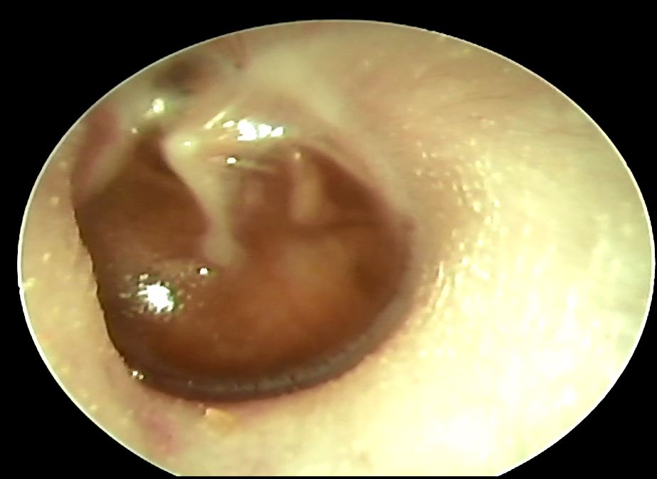
症狀

中耳腔藉由耳咽管平衡裡面的壓力,如果耳咽管本身阻塞或是呼吸道的纖毛運動變差,原本裡面的黏液就排不出來,久了就會形成積水狀,積水一多就有可能會造成耳鳴、耳悶、聽力減退等等現象;中耳腔積水又稱為glue ear,意思就是裡面可能會有清澈的或是黏稠的液體,孩子一般會有輕度聽力減退 (大約會掉27分貝) 或是語言發展遲滯等現象,跟急性中耳炎不一樣的地方是一般不會有耳痛、發燒或是倦怠等症狀。

成因

中耳腔積水占所有小孩的中耳炎的25-35%,中耳腔積水一般好發在4歲以前的兒童身上,跟本身耳咽管還沒發育完全有關,超過6歲就比較少發生,美國跟歐洲的研究顯示大約有5成到8成的小孩四歲前曾經發生過中耳積水,危險因子有 : 六歲以下、在托育中心待過、很多兄弟姊妹、常常感冒、瓶餵牛奶以及家裡有人抽菸,積水的話可能以後比較容易出現耳膜穿孔、鼓室硬化症、耳漏、膽脂瘤等等問題;積水的話不見得會發燒也不見得積水裡面就會有細菌滋生,所以抗生素的使用其實在醫界是有爭議的,至於抗組織胺、去充血劑以及鼻內類固醇也是沒有一個定論。

治療方式

如果在一個上呼吸道感染之後發現有中耳積水的情形,通常會建議觀察3個月左右,如果積水沒有消退再考慮置放中耳通氣管引流,以免時間太久影響聽力造成學習上的問題,在英國中耳腔積水是幼童轉診做手術最常見的原因,研究指出如果單純只放管子可能效果沒那麼夠,建議要搭配鼻內的腺樣體切除手術會比較好,至於媽媽們常常問說可不可以游泳,耳膜如果沒有置放通氣管的情況下,游泳或是洗澡都不會有問題的,但是如果置放了中耳通氣管可能就要避免進水以免中耳炎,另外,如果是發生在成人身上,就要考慮是不是鼻咽有長腫瘤,一般耳鼻喉科醫師會做個鼻咽內視鏡確認一下,所以如果長期有耳悶、耳鳴或是聽力喪失的情況,請至耳鼻喉專科門診檢查以免延誤治療!!

PS. 我們臉書上面有影片可以看喔 : https://www.facebook.com/RenXinENT/videos/1971519596445209/

延伸閱讀: